Bodo saltans virus
| Theiavirus salishense | |
|---|---|
| |
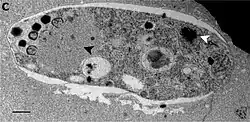
| (A) shows a mature BsV virion. (B) shows a healthy Bodo saltans cell. (C) and (D) show a post-infection state, assembly, and maturation of the virus inside a Bodo saltans cell. | |
| Virus classification | |
| (unranked): | Virus |
| Realm: | Varidnaviria |
| Kingdom: | Bamfordvirae |
| Phylum: | Nucleocytoviricota |
| Class: | Megaviricetes |
| Order: | Imitervirales |
| Family: | Mimiviridae |
| Species: | Theiavirus salishense |
Theiavirus salishense, the Bodo saltans virus is a giant virus of the Mimiviridae family that infects the protozoa Bodo saltans.[1] It has a genome of 1.39 megabases, one of the largest known viral genomes.[1]

References
- ^ a b c Deeg, C.M.; Chow, E.C.T.; Suttle, C.A. (2018). "The kinetoplastid-infecting Bodo saltans virus (BsV), a window into the most abundant giant viruses in the sea". eLife. 7: e33014. doi:10.7554/eLife.33014. PMC 5871332. PMID 29582753.
