Opportunistic infection
| Opportunistic infection | |
|---|---|
|  | |
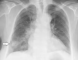
| Chest X-ray of a patient who first had influenza and then developed Haemophilus influenzae pneumonia, presumably opportunistic | |
| Specialty | Infectious diseases  | 
An opportunistic infection is an infection that occurs most commonly in individuals with an immunodeficiency disorder and acts more severely on those with a weakened immune system. These types of infections are considered serious and can be caused by a variety of pathogens including viruses, bacteria, fungi, and parasites.[1] Under normal conditions, such as in humans with uncompromised immune systems, an opportunistic infection would be less likely to cause significant harm and would typically result in a mild infection or no effect at all. These opportunistic infections can stem from a variety of sources, such as a weakened immune system (caused by human immunodeficiency virus and acquired immunodeficiency syndrome), when being treated with immunosuppressive drugs (as in cancer treatment),[2] when a microbiome is altered (such as a disruption in gut microbiota), or when integumentary barriers are breached (as in penetrating trauma). Opportunistic infections can contribute to antimicrobial resistance in an individual making these infections more severe. Some pathogens that cause these infections possess intrinsic resistance (natural resistance) to many antibiotics while others acquire resistance over time through mutations or horizontal gene transfer.[3] Many of these pathogens, such as the bacterium Clostridioides difficile (C. diff), can be present in hosts with uncompromised immune systems without generating any symptoms, and can, in some cases, act as commensals until the balance of the immune system is disrupted.[4][5][6][7] With C. diff and many other pathogens, the overuse or misuse of antibiotics can cause the disruption of normal microbiota and lead to an opportunistic infection caused by antibiotic resistant pathogens.[8] In some cases, opportunistic infections can be labeled as a hospital-acquired infection due to individuals contracting them within a healthcare/hospital setting.[9] In terms of history, there is not one individual that can be attributed for discovering opportunistic infections. Over time and through medical advancement, there have been many scientists that have contributed to the study and treatment options for patients affected by these infections.[10][11]
Types of opportunistic infections
Opportunistic infections can be caused by a wide variety of different types of pathogens. These infections can be caused by viral, bacterial, fungal, as well as parasitic pathogens.[12]
A partial list of opportunistic pathogens and their associated effects are as follows:
Bacteria
- Atopobium vaginae is an anaerobic bacterium recognized for its role in the development of bacterial vaginosis (BV).[13]
- Clostridioides difficile (formerly known as Clostridium difficile) is a bacteria that is known to cause gastrointestinal infection and diarrhea. It is typically associated with being the most common hospital acquired infection.[14][15]
- Cutibacterium acnes (formerly Propionibacterium acnes) can act as an opportunistic agent in infections associated with implanted medical devices, forming biofilms.[16]
- Extraintestinal pathogenic Escherichia coli (ExPEC) are E. coli strains that can lead to diseases beyond the gut, notably urinary tract infections (UTIs), meningitis, and bacteremia (bloodstream infections).[17]
- Haemophilus influenzae is a bacterium implicated in causing illnesses such as meningitis, epiglottitis which can obstruct airways, pneumonia, otitis media affecting the ear, sinusitis involving the sinuses, and potentially leading to complications like mastoiditis, parameningeal abscess, and pericarditis.[18]
- Klebsiella pneumoniae, a member of a group including pathogens, can be responsible for various infections in hospitalized individuals as it is frequently isolated from hospital admissions and the broader group (Enterobacteriaceae) is known to cause diverse infections.[19]
- Legionella pneumophila is a bacterium that causes Legionnaire's disease, a respiratory infection.[20][21]
- Mycobacterium avium complex (MAC) is a group of two bacteria, M. avium and M. intracellulare, that typically co-infect, leading to a lung infection called mycobacterium avium-intracellulare infection.[22][23]
- Mycobacterium tuberculosis is a species of bacteria that causes tuberculosis, a respiratory infection.[24]
- Pseudomonas aeruginosa is a bacterium that can cause respiratory infections. It is frequently associated with nosocomial infections and cystic fibrosis which can lead to organ dysfunctions and shortened life expectancy.[25][26]
- Salmonella is a genus of bacteria that is known to cause gastrointestinal infections causing an inflammatory response accompanied with fever and diarrhea.[27][28]
- Staphylococcus aureus is a bacterium known to cause skin infections and sepsis, among other pathologies. Notably, S. aureus has evolved several drug-resistant strains, including MRSA.[29][30]
- Stenotrophomonas maltophilia has emerged as a challenging nosocomial agent frequently associated with respiratory tract infections like pneumonia and exacerbations in individuals with COPD, and can also cause bacteremia, particularly linked to central lines in vulnerable patients.[31]
- Streptococcus pneumoniae is a bacterium that causes respiratory infections as well as meningitis and bacteremia.[32][33]
- Streptococcus pyogenes (also known as group A Streptococcus) is a bacterium that can cause a variety of conditions, including impetigo and strep throat, as well as other illnesses.[34][35]
Fungi
- Aspergillus is a fungus, commonly associated with respiratory infection.[36][37]
- Candida albicans is a species of fungus that is a part of the normal human microbiome. It acts as a commensal unless there is a change in concentrations. It can be associated with various conditions such as oral thrush and gastrointestinal infection.[38][39][40]
- Coccidioides immitis is a fungus known for causing coccidioidomycosis, more commonly known as Valley Fever.[41]
- Cryptococcus gattii: This emerging fungal pathogen can cause severe and often fatal infections, manifesting as pulmonary disease and meningitis in both immunocompromised and immunocompetent individuals.[42]
- Cryptococcus neoformans is a fungus that causes cryptococcosis, which can lead to pulmonary infection as well as nervous system infections, like meningitis.[43][44]
- Dematiaceous (pigmented) molds: These fungi are responsible for a range of diseases including phaeohyphomycosis, chromoblastomycosis, eumycotic mycetoma, invasive sinusitis, and allergic fungal sinusitis; cerebral infections can also occur.[45]
- Fusarium species: These fungi can cause hyalohyphomycosis, particularly in immunocompromised individuals, as well as mycotic keratitis and onychomycosis.[46]
- Hyaline (non-pigmented) molds (e.g., Acremonium, Paecilomyces, Scopulariopsis species): This group encompasses various molds, including Fusarium spp. causing hyalohyphomycosis, mycotic keratitis, and onychomycosis, as well as commonly causing pneumonia, sinusitis, and cutaneous lesions that may disseminate in neutropenic patients; Scedosporium spp. associated with sinusitis and pneumonia; Lomentospora prolificans causing a varied range of infections and disseminated disease; Scopulariopsis spp. and Acremonium spp. linked to sinopulmonary diseases; Paecilomyces variotii causing sinopulmonary disease; and Penicillium species implicated in necrotizing esophagitis and disseminated infections.[47]
- Histoplasma capsulatum is a species of fungus known to cause histoplasmosis, which can present itself with an array of symptoms, but often involves respiratory infection.[48][49]
- Lomentospora prolificans: This fungus can cause a remarkably varied range of infections and disseminated disease, including keratitis, mycotic aneurysms, external otitis, sinusitis, peritonitis, onychomycosis, and esophagitis.[50]
- Pseudogymnoascus destructans (formerly known as Geomyces destructans) is a fungus that causes white-nose syndrome in bats.[51]
- Microsporidia is a group of fungi that infect species across the animal kingdom, one species of which can cause microsporidiosis in immunocompromised human hosts.[52]
- Pneumocystis jirovecii (formerly known as Pneumocystis carinii) is a fungus that causes pneumocystis pneumonia, a respiratory infection.[53]
- Rhodotorula species: These yeasts can cause fungemia, often linked to central venous catheter use, as well as localized infections including meningitis, skin infections, ocular infections, peritonitis, and prosthetic joint infections.
- Zygomycetes (e.g., Mucor, Rhizopus, Absidia): This group can cause infections like rhinocerebral mucormycosis, and Mucor has been associated with respiratory infections; specifically, Absidia corymbifera is considered a human pathogen.[54]
Parasites
- Cryptosporidium is a protozoan that causes the condition Cryptosporidiosis. This condition affects the gastrointestinal tract.[55][56]
- Toxoplasma gondii is a protozoan, known for causing toxoplasmosis which is known to lead to impairment of the brain.[57][58][59]
Viruses
- Adenovirus is known to cause various illnesses, including lower respiratory tract infections, pneumonia, acute respiratory diseases, epidemic keratoconjunctivitis affecting the eyes, acute hemorrhagic cystitis of the bladder, and gastroenteritis affecting the digestive system.[60]
- Cytomegalovirus is considered a member of the human herpesvirus family and is most frequently associated with respiratory infection.[61][62][63]
- Hepatitis B Virus (HBV) can lead to acute liver infection manifesting as anicteric hepatitis, icteric hepatitis, or fulminant hepatitis, and chronic infection can progress to an asymptomatic carrier state, chronic hepatitis, cirrhosis of the liver, and hepatocellular carcinoma. Severe liver damage can result in complications like jaundice, hepatic encephalopathy, ascites, gastrointestinal bleeding, and coagulopathy.[64]
- Hepatitis C Virus (HCV) infection can become chronic, leading to liver damage that can progress to cirrhosis, portal hypertension, hepatic decompensation with encephalopathy, and hepatocellular carcinoma.
- Influenza Virus is responsible for seasonal flu epidemics and can be categorized into types affecting various hosts, such as avian (bird) flu, canine (dog) flu, swine (pig)/variant flu, and can cause pandemic flu, all generally resulting in respiratory illnesses.[65]
- Human Metapneumovirus (HMPV) commonly causes upper and lower respiratory tract infections, with symptoms such as cough, mucous production, fever, and dyspnea, and can lead to more severe conditions like pneumonia and bronchiolitis.[66]
- Human Papillomavirus (HPV) is the initiating force behind multiple conditions, including cutaneous and anogenital warts, which in some cases can progress to various carcinomas.[67]
- Human polyomavirus 2 (also known as JC virus) is known to cause progressive multifocal leukoencephalopathy (PML) which affects the central nervous system.[68][69][70]
- Human herpesvirus 8 (also known as Kaposi sarcoma-associated herpesvirus) is a virus associated with Kaposi sarcoma, a type of skin cancer.[71][72]
- Human T-cell leukemia virus type 1 (HTLV-1) causes a chronic lifelong infection that can lead to general immunosuppression, uveitis affecting the eyes, dermatitis of the skin, pneumonitis in the lungs, adult T-cell leukemia, and HTLV-1 associated myelopathy also known as tropical spastic paraparesis.[73]
- Parainfluenza Virus commonly causes upper and lower respiratory illnesses with symptoms similar to the common cold, such as fever, runny nose, cough, sneezing, and sore throat, and can also cause more serious illnesses in children including croup, bronchitis, and bronchiolitis.[74]
- SARS-CoV-2 is the virus that causes Coronavirus Disease 2019 (COVID-19), with symptoms that can include fever, cough, fatigue, muscle or body aches, headache, new loss of taste or smell, sore throat, congestion or runny nose, nausea or vomiting, and diarrhea.[75]
- Varicella-Zoster Virus causes Shingles.[76]
Opportunistic Infection and HIV/AIDS
Human Immunodeficiency Virus is a virus that targets the CD4 cells (a type of white blood cell) within the body's immune system. CD4 counts within a non-affected immune system would range anywhere from 500-1500 cells per cubic millimeter of blood, while an affected immune system would show cell counts below 200.[77] HIV infection can lead to progressively worsening immunodeficiency, a condition ideal for the development of opportunistic infection.[78][79] As HIV worsens over time, the term AIDS, or acquired immunodeficiency syndrome has been used to describe the condition and extensive damage to the immune system as well as the onset and susceptibility to other illnesses. The onset of AIDS leads to respiratory and central nervous system opportunistic infections, including but not limited to pneumonia, tuberculosis and meningitis.[80][81][82] Kaposi's sarcoma, a virally associated cancer, and non-Hodgkin's lymphoma are two types of cancers that are generally defined as AIDS malignancies.[83] As immune function declines and HIV-infection progresses to AIDS, individuals are at an increased risk of opportunistic infections that their immune systems are no longer capable of responding properly to. Because of this, opportunistic infections are a leading cause of HIV/AIDS-related deaths.[84]
Causes
Immunodeficiency is characterized by the absence of or the disruption in components of the immune system such as white blood cells (e.g. lymphocytes, phagocytes, etc.). These disruptions cause a decrease in immune function and result in an overall reduction of immunity against pathogens.[2]
They can be caused by a variety of factors, including:
- Pre-existing conditions such as
- Other causes include: - Undergoing organ transplant with the use of immunosuppressant agents[88]
- Receiving chemotherapy and other immunosuppressant drugs to combat cancer[89]
- Malnutrition[90]
- Genetic predisposition[91]
- Skin damage- cuts, burns, etc.[92]
- Antibiotic treatment or the misuse of antibiotics leading to disruption of the normal microbiome, thus allowing some microorganisms to outcompete others and become pathogenic (e.g. disruption of intestinal microbiota may lead to Clostridium difficile infection)[93]
- Medical procedures such as surgeries, endoscopies, implants, and catheterization [94][95][96][97]
- Pregnancy due to increase susceptibility and hormonal changes[98]
- Aging [99]
- Leukopenia (i.e. neutropenia and lymphocytopenia)[100]
- The lack of or the disruption of normal vaginal microbiota[101][102][103][104]
 
Prevention
Since opportunistic infections can cause severe disease, much emphasis is placed on measures to prevent infection. Such a strategy usually includes restoration of the immune system as soon as possible, avoiding exposures to infectious agents, and using antimicrobial medications ("prophylactic medications") directed against specific infections.[105]
Restoration of immune system
- In patients with HIV, starting antiretroviral therapy is recommended for restoration of the immune system and reducing the incidence rate of opportunistic infections[106][107]
- In patients undergoing chemotherapy, completion of, and recovery from treatment is the primary method for immune system restoration and to prevent infection occurrence. In a select subset of high-risk patients, granulocyte colony stimulating factors (G-CSF) can be used to aid immune system recovery and infection prevention.[108][109]
Avoidance of infectious exposure
- Ensure poultry is cooked to 165 °F (74 °C). Beef and pork cuts should reach an internal temperature of 145 °F (63 °C). Ground meat should be cooked to 160 °F (71 °C). Ensure juice, and dairy products are labeled as pasteurized. Eggs should be cooked until both yolks and whites are firm.[110]
- Avoid oral exposure to feces.[111]
- Ensure proper steps such as regular handwashing, and use of PPE are followed for the care of farm animals who are sick, specifically those experiencing diarrhea.[112][113]
- Ensure proper handling and handwashing with cat feces (e.g. cat litter): source of Toxoplasma gondii, Bartonella spp.[114]
- Avoid soil/dust in areas where there is known Histoplasma capsulatum present. If it cannot be avoided in an environment, ensure PPE is being used.[115]
- Ensure reptiles and amphibians, their live food, and their waste are being handled properly and wash hands regularly after handling to prevent transmission of pathogens such as Salmonella.[116]
- Avoid unprotected sexual intercourse with individuals that have sexually transmitted infections.[117]
Prophylactic medications
Individuals at higher risk for opportunistic infections are often prescribed prophylactic medication to prevent an infection from occurring. A person's risk level for developing an opportunistic infection is approximated using the person's CD4 T-cell count and other indicators such as current medical treatments, age, and lifestyle choices. The table below provides information regarding the treatment management of common opportunistic infections.[118][119][120][121]
| Opportunistic infections | Indication(s) for prophylactic medications | Preferred agent(s) | When to discontinue agent(s) | Secondary prophylactic/maintenance agent(s) | 
|---|---|---|---|---|
| Mycobacterium tuberculosis | Upon diagnosis of HIV, any positive screening test, or prior medical history of Mycobacterium tuberculosis. | These current agents' doses/frequency will discontinue after two months. Depending on clinical presentation, maintenance agents will continue for at least four more months. | 
 | |
| Pneumocystis jiroveci | CD4 count is less than 200 cells/mm3 or less than 14%. The person has documented medical history of recurrent oropharyngeal candidiasis. | This current agent doses/frequency will discontinue after 21 days. Secondary prophylactic agent dose/frequency will continue until the CD4 count is above 200 cells/mm3 and the HIV viral load is undetectable for at least three months while taking antiretroviral therapy. | 
 | |
| Toxoplasma gondii | CD4 count is less than 100 cells/mm3 or less than 14%, and the person has a positive serology for Toxoplasma gondii. | 
 | This agent will discontinue after six weeks. Secondary prophylactic medications will continue until the CD4 count is above 200 cells/mm3 and HIV viral load is undetectable for at least six months while taking antiretroviral therapy. | |
| Mycobacterium avium complex disease | CD4 count is less than 50 cells/mm3 and has a detectable viral load while taking antiretroviral therapy. | 
 | These agent(s) will discontinue after 12 months only if the person does not have any symptoms that will be concerning for persistent Mycobacterium avium complex disease and their CD4 count is above 100 cells/mm3, and while their HIV viral load is undetectable for at least six months while taking antiretroviral therapy. | N/A | 
Alternative prevention
Alternative agents can be used instead of the preferred agents. These alternative agents may be used due to an individual's allergies, availability, or clinical presentation. The alternative agents are listed in the table below.[118][122][120]
| Opportunistic infections | Alternative agent(s) | 
|---|---|
| Mycobacterium tuberculosis | |
| Pneumocystis jiroveci | |
| Toxoplasma gondii | 
 | 
| Mycobacterium avium complex disease | 
 | 
Treatment
Due to the prevention techniques used with HIV patients, such as prophylactic medications, opportunistic infections in HIV patients have decreased in number over the past few decades. In some circumstances, where individuals are not aware they have HIV and they develop an opportunistic infection, they may be prescribed, antivirals, antibiotics, or antifungals. After the infection has cleared, and to prevent it from coming back, they may be recommended to stay on that medication as well as it being coupled with another medication to ensure drug efficiency.[123]

References
- ^ a b "What is an Opportunistic Infection? | NIH". hivinfo.nih.gov. Retrieved 2025-02-26.
- ^ a b Justiz Vaillant AA, Qurie A (2021). "Immunodeficiency". StatPearls. Treasure Island (FL): StatPearls Publishing. PMID 29763203. Retrieved 2021-03-09.
- ^ Sánchez, María Blanca (2015-06-30). "Antibiotic resistance in the opportunistic pathogen Stenotrophomonas maltophilia". Frontiers in Microbiology. 6: 658. doi:10.3389/fmicb.2015.00658. ISSN 1664-302X. PMC 4485184. PMID 26175724.
- ^ Mada, Pradeep Kumar; Alam, Mohammed U. (2025), "Clostridioides difficile infection", StatPearls, Treasure Island (FL): StatPearls Publishing, PMID 28613708, retrieved 2025-01-30
- ^ "Clostridioides difficile", Wikipedia, 2025-01-15, retrieved 2025-01-30
- ^ Schroeder MR, Stephens DS (2016-09-21). "Macrolide Resistance in Streptococcus pneumoniae". Frontiers in Cellular and Infection Microbiology. 6: 98. doi:10.3389/fcimb.2016.00098. PMC 5030221. PMID 27709102.
- ^ Achermann Y, Goldstein EJ, Coenye T, Shirtliff ME (July 2014). "Propionibacterium acnes: from commensal to opportunistic biofilm-associated implant pathogen". Clinical Microbiology Reviews. 27 (3): 419–40. doi:10.1128/CMR.00092-13. PMC 4135900. PMID 24982315.
- ^ Raplee, Isaac; Walker, Lacey; Xu, Lei; Surathu, Anil; Chockalingam, Ashok; Stewart, Sharron; Han, Xiaomei; Rouse, Rodney; Li, Zhihua (2021-02-15). "Emergence of nosocomial associated opportunistic pathogens in the gut microbiome after antibiotic treatment". Antimicrobial Resistance & Infection Control. 10 (1): 36. doi:10.1186/s13756-021-00903-0. ISSN 2047-2994. PMC 7885457. PMID 33588951.
- ^ "Opportunistic pathogen - Definition and Examples - Biology Online Dictionary". Biology Articles, Tutorials & Dictionary Online. 2021-08-20. Retrieved 2025-02-26.
- ^ "Study takes aim at opportunistic fungal pathogens". MIT News | Massachusetts Institute of Technology. 2009-06-18. Retrieved 2025-02-26.
- ^ California, University of; Irvine. "Scientists invent new drug candidates to treat antibiotic-resistant bacteria". phys.org. Retrieved 2025-02-26.
- ^ "Opportunistic infections". DermNet®. 2023-10-26. Retrieved 2025-03-07.
- ^ Mendling, Werner; Palmeira-de-Oliveira, Ana; Biber, Stephan; Prasauskas, Valdas (July 2019). "An update on the role of Atopobium vaginae in bacterial vaginosis: what to consider when choosing a treatment? A mini review". Archives of Gynecology and Obstetrics. 300 (1): 1–6. doi:10.1007/s00404-019-05142-8. ISSN 1432-0711. PMC 6560015. PMID 30953190.
- ^ Czepiel J, Dróżdż M, Pituch H, Kuijper EJ, Perucki W, Mielimonka A, et al. (July 2019). "Clostridium difficile infection: review". European Journal of Clinical Microbiology & Infectious Diseases. 38 (7): 1211–1221. doi:10.1007/s10096-019-03539-6. PMC 6570665. PMID 30945014.
- ^ Guh AY, Kutty PK (October 2018). "Clostridioides difficile Infection". Annals of Internal Medicine. 169 (7): ITC49 – ITC64. doi:10.7326/AITC201810020. PMC 6524133. PMID 30285209.
- ^ "Cutibacterium (Propionibacterium) Infections Clinical Presentation: History, Complications". emedicine.medscape.com. Retrieved 2025-04-26.
- ^ Poolman, Jan T.; Wacker, Michael (2016-01-01). "Extraintestinal Pathogenic Escherichia coli, a Common Human Pathogen: Challenges for Vaccine Development and Progress in the Field". The Journal of Infectious Diseases. 213 (1): 6–13. doi:10.1093/infdis/jiv429. ISSN 1537-6613. PMC 4676548. PMID 26333944.
- ^ Khattak, Zoia E.; Anjum, Fatima (2025), "Haemophilus influenzae Infection", StatPearls, Treasure Island (FL): StatPearls Publishing, PMID 32965847, retrieved 2025-04-26
- ^ Guentzel, M. Neal (1996), Baron, Samuel (ed.), "Escherichia, Klebsiella, Enterobacter, Serratia, Citrobacter, and Proteus", Medical Microbiology (4th ed.), Galveston (TX): University of Texas Medical Branch at Galveston, ISBN 978-0-9631172-1-2, PMID 21413290, retrieved 2025-04-26
- ^ Chahin A, Opal SM (March 2017). "Severe Pneumonia Caused by Legionella pneumophila: Differential Diagnosis and Therapeutic Considerations". Infectious Disease Clinics of North America. 31 (1): 111–121. doi:10.1016/j.idc.2016.10.009. PMC 7135102. PMID 28159171.
- ^ Berjeaud JM, Chevalier S, Schlusselhuber M, Portier E, Loiseau C, Aucher W, et al. (2016-04-08). "Legionella pneumophila: The Paradox of a Highly Sensitive Opportunistic Waterborne Pathogen Able to Persist in the Environment". Frontiers in Microbiology. 7: 486. doi:10.3389/fmicb.2016.00486. PMC 4824771. PMID 27092135.
- ^ Falkinham JO (2018). "Mycobacterium avium complex: Adherence as a way of life". AIMS Microbiology. 4 (3): 428–438. doi:10.3934/microbiol.2018.3.428. PMC 6604937. PMID 31294225.
- ^ Pan SW, Shu CC, Feng JY, Su WJ (June 2020). "Treatment for Mycobacterium avium complex lung disease". Journal of the Formosan Medical Association = Taiwan Yi Zhi. 119 (Suppl 1): S67 – S75. doi:10.1016/j.jfma.2020.05.006. PMID 32446754.
- ^ Gordon SV, Parish T (April 2018). "Microbe Profile: Mycobacterium tuberculosis: Humanity's deadly microbial foe". Microbiology. 164 (4): 437–439. doi:10.1099/mic.0.000601. PMID 29465344.
- ^ Pang Z, Raudonis R, Glick BR, Lin TJ, Cheng Z (January–February 2019). "Antibiotic resistance in Pseudomonas aeruginosa: mechanisms and alternative therapeutic strategies". Biotechnology Advances. 37 (1): 177–192. doi:10.1016/j.biotechadv.2018.11.013. PMID 30500353.
- ^ Ong, Thida; Ramsey, Bonnie W. (2023-06-06). "Cystic Fibrosis: A Review". JAMA. 329 (21): 1859–1871. doi:10.1001/jama.2023.8120. ISSN 0098-7484. PMID 37278811.
- ^ Lamas A, Miranda JM, Regal P, Vázquez B, Franco CM, Cepeda A (January 2018). "A comprehensive review of non-enterica subspecies of Salmonella enterica". Microbiological Research. 206: 60–73. doi:10.1016/j.micres.2017.09.010. PMID 29146261.
- ^ Coburn, Bryan; Grassl, Guntram A; Finlay, B B (2007). "Salmonella, the host and disease: a brief review". Immunology & Cell Biology. 85 (2): 112–118. doi:10.1038/sj.icb.7100007. ISSN 1440-1711. PMID 17146467.
- ^ Jenul C, Horswill AR (April 2019). "Regulation of Staphylococcus aureus Virulence". Microbiology Spectrum. 7 (2). doi:10.1128/microbiolspec.GPP3-0031-2018. PMC 6452892. PMID 30953424.
- ^ Kong C, Neoh HM, Nathan S (March 2016). "Targeting Staphylococcus aureus Toxins: A Potential form of Anti-Virulence Therapy". Toxins. 8 (3): 72. doi:10.3390/toxins8030072. PMC 4810217. PMID 26999200.
- ^ Mojica, Maria F.; Humphries, Romney; Lipuma, John J.; Mathers, Amy J.; Rao, Gauri G.; Shelburne, Samuel A.; Fouts, Derrick E.; Van Duin, David; Bonomo, Robert A. (2022-06-01). "Clinical challenges treating Stenotrophomonas maltophilia infections: an update". JAC-Antimicrobial Resistance. 4 (3): dlac040. doi:10.1093/jacamr/dlac040. ISSN 2632-1823. PMC 9071536. PMID 35529051.
- ^ Schroeder MR, Stephens DS (2016-09-21). "Macrolide Resistance in Streptococcus pneumoniae". Frontiers in Cellular and Infection Microbiology. 6: 98. doi:10.3389/fcimb.2016.00098. PMC 5030221. PMID 27709102.
- ^ Lynch, Joseph P.; Zhanel, George G. (April 2009). "Streptococcus pneumoniae: Epidemiology, Risk Factors, and Strategies for Prevention". Seminars in Respiratory and Critical Care Medicine. 30 (2): 189–209. doi:10.1055/s-0029-1202938. ISSN 1069-3424. PMID 19296419.
- ^ Jespersen MG, Lacey JA, Tong SY, Davies MR (December 2020). "Global genomic epidemiology of Streptococcus pyogenes". Infection, Genetics and Evolution. 86 104609. Bibcode:2020InfGE..8604609J. doi:10.1016/j.meegid.2020.104609. PMID 33147506.
- ^ Brouwer S, Barnett TC, Rivera-Hernandez T, Rohde M, Walker MJ (November 2016). "Streptococcus pyogenes adhesion and colonization". FEBS Letters. 590 (21): 3739–3757. doi:10.1002/1873-3468.12254. hdl:10033/619157. PMID 27312939. S2CID 205213711.
- ^ Latgé JP, Chamilos G (December 2019). "Aspergillus fumigatus and Aspergillosis in 2019". Clinical Microbiology Reviews. 33 (1): e00140–18, /cmr/33/1/CMR.00140–18.atom. doi:10.1128/CMR.00140-18. PMC 6860006. PMID 31722890.
- ^ José RJ, Periselneris JN, Brown JS (June 2020). "Opportunistic bacterial, viral and fungal infections of the lung". Medicine. 48 (6): 366–372. doi:10.1016/j.mpmed.2020.03.006. PMC 7206443. PMID 32390758.
- ^ Akpan A, Morgan R (August 2002). "Oral candidiasis". Postgraduate Medical Journal. 78 (922): 455–9. doi:10.1136/pmj.78.922.455. PMC 1742467. PMID 12185216.
- ^ Erdogan A, Rao SS (April 2015). "Small intestinal fungal overgrowth". Current Gastroenterology Reports. 17 (4) 16. doi:10.1007/s11894-015-0436-2. PMID 25786900. S2CID 3098136.
- ^ Mayer, François L.; Wilson, Duncan; Hube, Bernhard (2013-02-15). "Candida albicans pathogenicity mechanisms". Virulence. 4 (2): 119–128. doi:10.4161/viru.22913. ISSN 2150-5594. PMC 3654610. PMID 23302789.
- ^ Mu A, Shein TT, Jayachandran P, Paul S (2017-09-14). "Immune Reconstitution Inflammatory Syndrome in Patients with AIDS and Disseminated Coccidioidomycosis: A Case Series and Review of the Literature". Journal of the International Association of Providers of AIDS Care. 16 (6): 540–545. doi:10.1177/2325957417729751. PMID 28911256.
- ^ Byrnes, Edmond J.; Bartlett, Karen H.; Perfect, John R.; Heitman, Joseph (October 2011). "Cryptococcus gattii: an emerging fungal pathogen infecting humans and animals". Microbes and Infection. 13 (11): 895–907. doi:10.1016/j.micinf.2011.05.009. ISSN 1769-714X. PMC 3318971. PMID 21684347.
- ^ Kwon-Chung KJ, Fraser JA, Doering TL, Wang Z, Janbon G, Idnurm A, Bahn YS (July 2014). "Cryptococcus neoformans and Cryptococcus gattii, the etiologic agents of cryptococcosis". Cold Spring Harbor Perspectives in Medicine. 4 (7): a019760. doi:10.1101/cshperspect.a019760. PMC 4066639. PMID 24985132.
- ^ Maziarz EK, Perfect JR (March 2016). "Cryptococcosis". Infectious Disease Clinics of North America. 30 (1): 179–206. doi:10.1016/j.idc.2015.10.006. PMC 5808417. PMID 26897067.
- ^ Brandt, M. E.; Warnock, D. W. (November 2003). "Epidemiology, clinical manifestations, and therapy of infections caused by dematiaceous fungi". Journal of Chemotherapy (Florence, Italy). 15 Suppl 2: 36–47. doi:10.1179/joc.2003.15.Supplement-2.36. ISSN 1120-009X. PMID 14708965.
- ^ Ellis, David (2026-04-19). "Fusarium". www.adelaide.edu.au.
- ^ Jacobs, Samantha E.; Walsh, Thomas J. (2023-02-06). "Non-Aspergillus Hyaline Molds: A Host-Based Perspective of Emerging Pathogenic Fungi Causing Sinopulmonary Diseases". Journal of Fungi (Basel, Switzerland). 9 (2): 212. doi:10.3390/jof9020212. ISSN 2309-608X. PMC 9964096. PMID 36836326.
- ^ Horwath MC, Fecher RA, Deepe GS (2015-06-10). "Histoplasma capsulatum, lung infection and immunity". Future Microbiology. 10 (6): 967–75. doi:10.2217/fmb.15.25. PMC 4478585. PMID 26059620.
- ^ Mittal J, Ponce MG, Gendlina I, Nosanchuk JD (2018). "Histoplasma Capsulatum: Mechanisms for Pathogenesis". In Rodrigues ML (ed.). Fungal Physiology and Immunopathogenesis. Current Topics in Microbiology and Immunology. Vol. 422. Cham: Springer International Publishing. pp. 157–191. doi:10.1007/82_2018_114. ISBN 978-3-030-30236-8. PMC 7212190. PMID 30043340.
- ^ Konsoula, Afroditi; Tsioutis, Constantinos; Markaki, Ioulia; Papadakis, Michail; Agouridis, Aris P.; Spernovasilis, Nikolaos (2022-06-29). "Lomentospora prolificans: An Emerging Opportunistic Fungal Pathogen". Microorganisms. 10 (7): 1317. doi:10.3390/microorganisms10071317. ISSN 2076-2607. PMC 9316904. PMID 35889036.
- ^ Seyedmousavi S, Bosco SM, de Hoog S, Ebel F, Elad D, Gomes RR, et al. (April 2018). "Fungal infections in animals: a patchwork of different situations". Medical Mycology. 56 (suppl_1): 165–187. doi:10.1093/mmy/myx104. PMC 6251577. PMID 29538732.
- ^ Stentiford GD, Becnel JJ, Weiss LM, Keeling PJ, Didier ES, Bjornson S, et al. (April 2016). "Microsporidia - Emergent Pathogens in the Global Food Chain". Trends in Parasitology. 32 (4): 336–348. doi:10.1016/j.pt.2015.12.004. PMC 4818719. PMID 26796229.
- ^ Sokulska M, Kicia M, Wesołowska M, Hendrich AB (October 2015). "Pneumocystis jirovecii--from a commensal to pathogen: clinical and diagnostic review". Parasitology Research. 114 (10): 3577–85. doi:10.1007/s00436-015-4678-6. PMC 4562001. PMID 26281787.
- ^ Ribes, J. A.; Vanover-Sams, C. L.; Baker, D. J. (April 2000). "Zygomycetes in human disease". Clinical Microbiology Reviews. 13 (2): 236–301. doi:10.1128/CMR.13.2.236. ISSN 0893-8512. PMC 100153. PMID 10756000.
- ^ Gerace E, Lo Presti VD, Biondo C (December 2019). "Cryptosporidium Infection: Epidemiology, Pathogenesis, and Differential Diagnosis". European Journal of Microbiology & Immunology. 9 (4): 119–123. doi:10.1556/1886.2019.00019. PMC 6945992. PMID 31934363.
- ^ Pumipuntu, Natapol; Piratae, Supawadee (May 2018). "Cryptosporidiosis: A zoonotic disease concern". Veterinary World. 11 (5): 681–686. doi:10.14202/vetworld.2018.681-686. ISSN 0972-8988. PMC 5993756. PMID 29915508.
- ^ Mendez OA, Koshy AA (July 2017). Gubbels MJ (ed.). "Toxoplasma gondii: Entry, association, and physiological influence on the central nervous system". PLOS Pathogens. 13 (7): e1006351. doi:10.1371/journal.ppat.1006351. PMC 5519211. PMID 28727854.
- ^ Hunter CA, Sibley LD (November 2012). "Modulation of innate immunity by Toxoplasma gondii virulence effectors". Nature Reviews. Microbiology. 10 (11): 766–78. doi:10.1038/nrmicro2858. PMC 3689224. PMID 23070557.
- ^ Samojłowicz, Dorota; Twarowska-Małczyńska, Joanna; Borowska-Solonynko, Aleksandra; Poniatowski, Łukasz A.; Sharma, Nipika; Olczak, Mieszko (2019-02-01). "Presence of Toxoplasma gondii infection in brain as a potential cause of risky behavior: a report of 102 autopsy cases". European Journal of Clinical Microbiology & Infectious Diseases. 38 (2): 305–317. doi:10.1007/s10096-018-3427-z. ISSN 1435-4373. PMC 6514116. PMID 30470966.
- ^ Usman, Norina; Suarez, Manuel (2025), "Adenoviruses", StatPearls, Treasure Island (FL): StatPearls Publishing, PMID 32644498, retrieved 2025-04-26
- ^ José RJ, Periselneris JN, Brown JS (June 2020). "Opportunistic bacterial, viral and fungal infections of the lung". Medicine. 48 (6): 366–372. doi:10.1016/j.mpmed.2020.03.006. PMC 7206443. PMID 32390758.
- ^ Fonseca Brito L, Brune W, Stahl FR (August 2019). "Cytomegalovirus (CMV) Pneumonitis: Cell Tropism, Inflammation, and Immunity". International Journal of Molecular Sciences. 20 (16): 3865. doi:10.3390/ijms20163865. PMC 6719013. PMID 31398860.
- ^ Dioverti, M. Veronica; Razonable, Raymund R. (2016), "Cytomegalovirus", Diagnostic Microbiology of the Immunocompromised Host, John Wiley & Sons, Ltd, pp. 97–125, doi:10.1128/9781555819040.ch4, ISBN 978-1-68367-070-4, retrieved 2025-03-07
- ^ Tripathi, Nishant; Mousa, Omar Y. (2025), "Hepatitis B", StatPearls, Treasure Island (FL): StatPearls Publishing, PMID 32310405, retrieved 2025-04-26
- ^ CDC (2025-02-18). "About Influenza". Influenza (Flu). Retrieved 2025-04-26.
- ^ Uddin, Sanaa; Thomas, Meagan (2025), "Human Metapneumovirus", StatPearls, Treasure Island (FL): StatPearls Publishing, PMID 32809745, retrieved 2025-04-26
- ^ Luria, Lynette; Cardoza-Favarato, Gabriella (2025), "Human Papillomavirus", StatPearls, Treasure Island (FL): StatPearls Publishing, PMID 28846281, retrieved 2025-04-26
- ^ Bohra C, Sokol L, Dalia S (2017-11-01). "Progressive Multifocal Leukoencephalopathy and Monoclonal Antibodies: A Review". Cancer Control. 24 (4): 1073274817729901. doi:10.1177/1073274817729901. PMC 5937251. PMID 28975841.
- ^ Kartau M, Sipilä JO, Auvinen E, Palomäki M, Verkkoniemi-Ahola A (2019-12-02). "Progressive Multifocal Leukoencephalopathy: Current Insights". Degenerative Neurological and Neuromuscular Disease. 9: 109–121. doi:10.2147/DNND.S203405. PMC 6896915. PMID 31819703.
- ^ Weissert, Robert (2011-02-01). "Progressive multifocal leukoencephalopathy". Journal of Neuroimmunology. Special Issue on Advances in Clinical Neuroimmunology. 231 (1): 73–77. doi:10.1016/j.jneuroim.2010.09.021. ISSN 0165-5728. PMID 20937530.
- ^ Radu O, Pantanowitz L (February 2013). "Kaposi sarcoma". Archives of Pathology & Laboratory Medicine. 137 (2): 289–94. doi:10.5858/arpa.2012-0101-RS. PMID 23368874.
- ^ Cesarman E, Damania B, Krown SE, Martin J, Bower M, Whitby D (January 2019). "Kaposi sarcoma". Nature Reviews. Disease Primers. 5 (1) 9. doi:10.1038/s41572-019-0060-9. PMC 6685213. PMID 30705286.
- ^ "Human T-lymphotropic virus type 1". www.who.int. Retrieved 2025-04-26.
- ^ CDC (2024-06-18). "About Human Parainfluenza Viruses (HPIVs)". Parainfluenza. Retrieved 2025-04-26.
- ^ www.pennmedicine.org https://www.pennmedicine.org/for-patients-and-visitors/patient-information/conditions-treated-a-to-z/coronavirus-disease-2019-covid19. Retrieved 2025-04-26. {{cite web}}: Missing or empty|title=(help)
- ^ CDC (2025-01-17). "About Shingles (Herpes Zoster)". Shingles (Herpes Zoster). Retrieved 2025-04-26.
- ^ Pilangorgi, Sahar Souri; Khodakarim, Soheila; Shayan, Zahra; Nejat, Mehdi (2025-03-12). "Evaluation of factors related to longitudinal CD4 count and the risk of death among HIV-infected patients using Bayesian joint models". BMC Public Health. 25 (1): 979. doi:10.1186/s12889-025-22096-6. ISSN 1471-2458. PMC 11905675. PMID 40075339.
- ^ Doitsh G, Greene WC (March 2016). "Dissecting How CD4 T Cells Are Lost During HIV Infection". Cell Host & Microbe. 19 (3): 280–91. doi:10.1016/j.chom.2016.02.012. PMC 4835240. PMID 26962940.
- ^ Fenwick C, Joo V, Jacquier P, Noto A, Banga R, Perreau M, Pantaleo G (November 2019). "T-cell exhaustion in HIV infection". Immunological Reviews. 292 (1): 149–163. doi:10.1111/imr.12823. PMC 7003858. PMID 31883174.
- ^ "HIV vs. AIDS: When Does HIV Turn Into AIDS? Differences". MedicineNet. Retrieved 2025-03-20.
- ^ Bruchfeld J, Correia-Neves M, Källenius G (February 2015). "Tuberculosis and HIV Coinfection". Cold Spring Harbor Perspectives in Medicine. 5 (7): a017871. doi:10.1101/cshperspect.a017871. PMC 4484961. PMID 25722472.
- ^ Tenforde MW, Shapiro AE, Rouse B, Jarvis JN, Li T, Eshun-Wilson I, Ford N, et al. (Cochrane Infectious Diseases Group) (July 2018). "Treatment for HIV-associated cryptococcal meningitis". The Cochrane Database of Systematic Reviews. 2018 (7): CD005647. doi:10.1002/14651858.CD005647.pub3. PMC 6513250. PMID 30045416.
- ^ Rees CA, Keating EM, Lukolyo H, Danysh HE, Scheurer ME, Mehta PS, et al. (August 2016). "Mapping the Epidemiology of Kaposi Sarcoma and Non-Hodgkin Lymphoma Among Children in Sub-Saharan Africa: A Review". Pediatric Blood & Cancer. 63 (8): 1325–31. doi:10.1002/pbc.26021. PMC 7340190. PMID 27082516.
- ^ Sadiq U, Shrestha U, Guzman M (2021). "Prevention Of Opportunistic Infections In HIV". StatPearls. Treasure Island (FL): StatPearls Publishing. PMID 30020717. Retrieved 2021-03-09.
- ^ Pego-Reigosa, José María; Nicholson, Lindsay; Pooley, Nick; Langham, Sue; Embleton, Nina; Marjenberg, Zoe; Barut, Volkan; Desta, Barnabas; Wang, Xia; Langham, Julia; Hammond, Edward R (2021-01-05). "The risk of infections in adult patients with systemic lupus erythematosus: systematic review and meta-analysis". Rheumatology. 60 (1): 60–72. doi:10.1093/rheumatology/keaa478. ISSN 1462-0324. PMC 7785308. PMID 33099651.
- ^ Takabayashi, Katsuhiko; Ando, Fumihiko; Ikeda, Kei; Nakajima, Hiroshi; Hanaoka, Hideki; Suzuki, Takahiro (2023-11-01). "Incidence of opportunistic infections in patients with rheumatoid arthritis treated with different molecular-targeted drugs: A population-based retrospective cohort study". Modern Rheumatology. 33 (6): 1078–1086. doi:10.1093/mr/roac133. ISSN 1439-7595. PMID 36308397.
- ^ Epstein, David J; Dunn, Jeffrey; Deresinski, Stan (2018-08-01). "Infectious Complications of Multiple Sclerosis Therapies: Implications for Screening, Prophylaxis, and Management". Open Forum Infectious Diseases. 5 (8): ofy174. doi:10.1093/ofid/ofy174. ISSN 2328-8957. PMC 6080056. PMID 30094293.
- ^ "Opportunistic Infection: Causes, Signs, and Treatment". Medicoverhospitals. 2025.
- ^ "Preventing Infections in People with Cancer". www.cancer.org. Retrieved 2025-03-09.
- ^ Fan, Yuanyuan; Yao, Qianqian; Liu, Yufeng; Jia, Tiantian; Zhang, Junjuan; Jiang, Enshe (2022-02-23). "Underlying Causes and Co-existence of Malnutrition and Infections: An Exceedingly Common Death Risk in Cancer". Frontiers in Nutrition. 9. doi:10.3389/fnut.2022.814095. ISSN 2296-861X. PMC 8906403. PMID 35284454.
- ^ "New genetic disorder that causes susceptibility to opportunistic infections". ScienceDaily. Retrieved 2025-03-09.
- ^ admin-infection (2023-12-07). "The Most Common Bacteria Causing Wound Infections - A Comprehensive Guide". Infection Cycle. Retrieved 2025-03-09.
- ^ "Which Antibiotics Are Most Associated with Causing Clostridium difficile Diarrhea?". Pharmacy Times. 2017-03-14. Retrieved 2025-03-09.
- ^ admin-infection (2023-12-07). "Most Common Infection After Surgery and How to Prevent It". Infection Cycle. Retrieved 2025-03-09.
- ^ El Husseini, Nour; Carter, Jared A.; Lee, Vincent T. (2024-10-21). "Urinary tract infections and catheter-associated urinary tract infections caused by Pseudomonas aeruginosa". Microbiology and Molecular Biology Reviews. 88 (4): e00066–22. doi:10.1128/mmbr.00066-22. PMC 11653733. PMID 39431861.
- ^ practicalgast (2020-08-13). "Endoscope-Associated Infections (EAI): An Update and Future Directions". Practical Gastro. Retrieved 2025-03-09.
- ^ Arciola, Carla Renata; Campoccia, Davide; Montanaro, Lucio (July 2018). "Implant infections: adhesion, biofilm formation and immune evasion". Nature Reviews Microbiology. 16 (7): 397–409. doi:10.1038/s41579-018-0019-y. ISSN 1740-1534. PMID 29720707.
- ^ Kumar, Manoj; Saadaoui, Marwa; Al Khodor, Souhaila (2022-06-08). "Infections and Pregnancy: Effects on Maternal and Child Health". Frontiers in Cellular and Infection Microbiology. 12. doi:10.3389/fcimb.2022.873253. ISSN 2235-2988. PMC 9217740. PMID 35755838.
- ^ Kline, K., Bowdish, D., Hartland, E., & Richardson, A. (2016). Infection in an aging population. Current Opinion in Microbiology, 29, 63–67. https://doi.org/10.1016/j.mib.2015.11.003
- ^ "UpToDate". www.uptodate.com. Retrieved 2025-03-09.
- ^ Africa CW, Nel J, Stemmet M (July 2014). "Anaerobes and bacterial vaginosis in pregnancy: virulence factors contributing to vaginal colonisation". International Journal of Environmental Research and Public Health. 11 (7): 6979–7000. doi:10.3390/ijerph110706979. PMC 4113856. PMID 25014248.
- ^ Mastromarino P, Vitali B, Mosca L (July 2013). "Bacterial vaginosis: a review on clinical trials with probiotics" (PDF). The New Microbiologica. 36 (3): 229–38. PMID 23912864. Archived from the original (PDF) on 2015-05-18. Retrieved 2015-05-11.
- ^ Mastromarino P, Vitali B, Mosca L (July 2013). "Bacterial vaginosis: a review on clinical trials with probiotics" (PDF). The New Microbiologica. 36 (3): 229–38. PMID 23912864. Archived from the original (PDF) on 2015-05-18. Retrieved 2015-05-11.
- ^ Knoester M, Lashley LE, Wessels E, Oepkes D, Kuijper EJ (April 2011). "First report of Atopobium vaginae bacteremia with fetal loss after chorionic villus sampling". Journal of Clinical Microbiology. 49 (4): 1684–6. doi:10.1128/JCM.01655-10. PMC 3122803. PMID 21289141.
- ^ Schlossberg D (2015-04-23). Clinical Infectious Disease. Cambridge University Press. pp. 688–. ISBN 978-1-107-03891-2.
- ^ Ledergerber B, Egger M, Erard V, Weber R, Hirschel B, Furrer H, et al. (December 1999). "AIDS-related opportunistic illnesses occurring after initiation of potent antiretroviral therapy: the Swiss HIV Cohort Study". JAMA. 282 (23): 2220–6. doi:10.1001/jama.282.23.2220. PMID 10605973.
- ^ Brooks JT, Kaplan JE, Holmes KK, Benson C, Pau A, Masur H (March 2009). "HIV-associated opportunistic infections--going, going, but not gone: the continued need for prevention and treatment guidelines". Clinical Infectious Diseases. 48 (5): 609–11. doi:10.1086/596756. PMID 19191648. S2CID 39742988.
- ^ Freifeld AG, Bow EJ, Sepkowitz KA, Boeckh MJ, Ito JI, Mullen CA, et al. (February 2011). "Clinical practice guideline for the use of antimicrobial agents in neutropenic patients with cancer: 2010 update by the infectious diseases society of america". Clinical Infectious Diseases. 52 (4): e56-93. doi:10.1093/cid/cir073. PMID 21258094.
- ^ Smith TJ, Khatcheressian J, Lyman GH, Ozer H, Armitage JO, Balducci L, et al. (July 2006). "2006 update of recommendations for the use of white blood cell growth factors: an evidence-based clinical practice guideline". Journal of Clinical Oncology. 24 (19): 3187–205. doi:10.1200/JCO.2006.06.4451. PMID 16682719.
- ^ CDC (2025-01-31). "Safer Food Choices". Food Safety. Retrieved 2025-04-19.
- ^ "Guidelines for the prevention and treatment of opportunistic infections in adults and adolescents with HIV: recommendations from the Centers for Disease Control and Prevention, the National Institutes of Health, and the HIV Medicine Association of the Infectious Diseases Society of America" (PDF). 26 May 2020. Archived from the original (PDF) on 28 November 2020. Retrieved 28 November 2020.
- ^ CDC (2024-08-26). "Zoonotic Diseases in Rural America". Rural Health. Retrieved 2025-04-19.
- ^ "Cleaning and Disinfection Tips". Healthy Farms Healthy Agriculture. Retrieved 2025-04-19.
- ^ misgatosingles0224ld (2023-09-03). "Should you wash your hands after scooping cat litter?". My cats and me. Retrieved 2025-04-19.{{cite web}}: CS1 maint: numeric names: authors list (link)
- ^ CDC (2024-11-21). "Personal Protective Equipment". Histoplasmosis. Retrieved 2025-04-19.
- ^ Medicine, Center for Veterinary (2024-06-17). "Salmonella, Feeder Rodents, and Pet Reptiles and Amphibians – Tips You Should Know to Prevent Infection". FDA. Archived from the original on September 12, 2019.
- ^ "Appendix Recommendations to Help Patients Avoid Exposure to or Infection from Opportunistic Pathogens* Sexual Exposures". www.cdc.gov. Retrieved 2025-04-19.
- ^ a b Dyer, Mary; Kerr, Christine; McGowan, Joseph P.; Fine, Steven M.; Merrick, Samuel T.; Stevens, Lyn C.; Hoffmann, Christopher J.; Gonzalez, Charles J. (2021). Comprehensive Primary Care for Adults With HIV. New York State Department of Health AIDS Institute Clinical Guidelines. Baltimore (MD): Johns Hopkins University. PMID 33625815.
- ^ "European AIDS Clinical Society Guidelines" (PDF).
- ^ a b "Table 2. Treatment of HIV-Associated Opportunistic Infections (Includes Recommendations for Acute Treatment and Secondary Prophylaxis/Chronic Suppressive/Maintenance Therapy) | NIH". clinicalinfo.hiv.gov. Retrieved 2023-02-20.
- ^ admin-infection (2023-12-07). "Opportunistic Infection - A Serious Threat to Immunocompromised Individuals". Infection Cycle. Retrieved 2025-04-19.
- ^ "European AIDS Clinical Society Guidelines" (PDF).
- ^ Opportunistic infections. (2015). Rheumatology. https://doi.org/10.1093/rheumatology/kev074