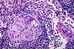
Schaumann body

In pathology, Schaumann bodies are calcium and protein inclusions inside of Langhans giant cells as part of a granuloma.
Many conditions can cause Schaumann bodies, including:
- Sarcoidosis,
- Hypersensitivity pneumonitis, and
- Berylliosis.
- uncommonly, Crohn's disease and tuberculosis.[1]
Etymology
These inclusions were named after Swedish dermatologist Jörgen Nilsen Schaumann.[2]
See also
References
- ^ Williams WJ (1964). "HISTOLOGY OF CROHN'S SYNDROME". Gut. 5: 510–6. doi:10.1136/gut.5.6.510. PMC 1552174. PMID 14244024.
- ^ doctor/564 at Whonamedit?