Dyserythropoiesis
| Dyserythropoiesis | |
|---|---|
![]() | |
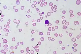
| A peripheral blood smear of a patient with iron-deficiency anemia, an example of an acquired dyserythropoiesis |
Dyserythropoiesis refers to the defective development of red blood cells, also called erythrocytes.[1] This problem can be congenital, acquired, or inherited.[2] Some red blood cells may be destroyed within the bone marrow during the maturation process, whereas others can enter the circulation with abnormalities.[3] These abnormalities can be functional and/or morphological, which can lead to anemia since there may be increased turnover of red blood cells.[1][2] There are a number of diseases that cause dyserythropoiesis. Congenital/inherited causes include congenital dyserythropoietic anemia, thalassemia, pyruvate kinase deficiency, hereditary pyropoikilocytosis, and abetalipoproteinemia.[2] Acquired causes include nutrient deficiency/malnutrition (e.g. cobalamine, folate, and iron), myelodysplasia, HIV infection, and certain medications (e.g. zidovudine).[2]
See also
References
- ^ a b Orkin, S.H.; Nathan, D.G. (2009). Nathan and Oski's Hematology of Infancy and Childhood. ClinicalKey 2012. Saunders/Elsevier. p. 360. ISBN 978-1-4160-3430-8. Retrieved 2017-10-31.
- ^ a b c d Shinton, N.K. (2007). Desk Reference for Hematology, Second Edition. CRC Press. p. 267. ISBN 978-1-4200-0512-7. Retrieved 2017-10-31.
- ^ Hoffbrand, A.V.; Catovsky, D.; Tuddenham, E.G.D. (2008). Postgraduate Haematology (in German). Wiley. p. 202. ISBN 978-1-4051-4353-0. Retrieved 2017-10-31.
.jpg)